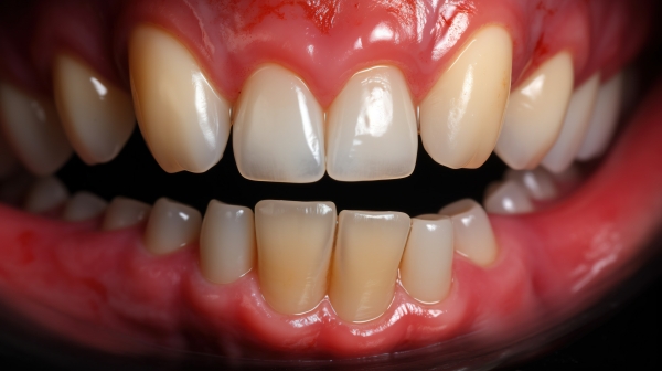
잇몸에서 피가 나는 이유
- 질환·증상
- 2025. 7. 26.
잇몸에서 피가 나는 이유
잇몸에서 피가 나는 걸 칫솔질 때문이라고 넘기는 사람이 정말 많아요. 저도 예전엔 그랬거든요. “아, 오늘 양치 좀 세게 했나 보다” 하고 말았죠. 그런데 그게 매일 반복되기 시작하니까, 이게 무슨 신호는 아닐까 싶은 생각이 들더라고요. 우리 몸은 이상이 생기면 작은 변화부터 알려줘요. 잇몸 출혈도 그런 신호 중 하나예요.

잇몸에서 피가 나는 이유 는 가장 흔한 원인은 ‘치은염’이에요. 입속에 남아 있는 치태(세균과 음식물 찌꺼기)가 잇몸을 자극하면서 염증을 일으키죠. 이걸 방치하면 염증이 잇몸 뼈까지 퍼지는 ‘치주염’으로 진행되는데, 이렇게 되면 상황은 훨씬 심각해져요. 잇몸이 붓고 피가 나는 걸 넘어서, 이가 흔들리거나 빠질 수도 있으니까요.
게다가 잇몸 출혈은 구강 문제가 아닐 수도 있어요. 당뇨병이나 혈액응고장애 같은 전신 질환의 증상일 수도 있고요, 흡연이나 스트레스도 출혈을 악화시켜요. 잇몸 출혈이 잦다면, 그냥 구강 청결 문제가 아니라 내 몸 전반에 대해 돌아봐야 하는 순간일 수 있어요. 피가 난다는 건, 어딘가 무언가가 틀어졌다는 신호예요.
제 친구는 양치할 때마다 피가 묻어나기 시작해서 치과에 갔다가, 치은염 진단과 함께 ‘피곤할수록 잇몸이 더 약해질 수 있다’는 말을 들었다고 해요. 바쁘다고 건강을 뒷전으로 두면, 잇몸부터 항의하기 시작하더라고요. 작고 조용하지만 무시하면 안 되는 경고예요.


잇몸 출혈과 함께 나타날 수 있는 낯선 증상들
잇몸에서 피가 나는 이유 사실만으로도 찝찝한데, 거기에 낯선 증상들이 하나둘 붙기 시작하면 신경이 예민해져요. 대표적인 게 ‘짠맛’이에요. 잇몸에서 피가 날 때 입 안에서 쇠맛, 혹은 짠맛이 느껴지는 건 흔한 일이에요. 혈액 속의 철분 성분이 혀에 닿으면 그런 맛이 나거든요. 피가 나고 있다는 걸 가장 먼저 감지하는 건, 눈보다 혀일 수도 있어요.
잇몸 출혈과 함께 자주 나타나는 또 하나의 불청객은 입냄새예요. 양치를 아무리 해도 입안이 개운치 않고, 마스크 속에서 자꾸 나 자신이 민망할 때가 있어요. 이건 단순한 입냄새가 아니라, 염증이 일어나면서 생긴 세균성 냄새일 가능성이 커요. 특히 휘발성 황 화합물이라는 독한 성분이 만들어지면, 냄새가 썩은 고기처럼 심해지기도 해요.
그리고 잇몸에서 고름이 나오기 시작한다면, 그건 이미 응급 단계예요. 고름은 우리 몸이 세균과 싸운 결과물인데, 이게 잇몸 속에 고여 있다면 통증도 심하고 냄새도 고약해져요. 제 주변에선 아예 턱까지 붓고 열이 나는 경우도 있었어요. 이런 상태에서는 집에서 할 수 있는 건 없고, 바로 치과로 달려가야 해요.
마지막으로, 출혈 부위 주변이 푸르스름하게 변하거나, 약간 까맣게 보이기도 해요. 이는 혈액이 고여 있는 증상일 수 있어요. ‘붉은 피’에서 멈추지 않고, 색이 변하기 시작하면, 이미 어느 정도 진행된 상태일 수 있어요. 거울로 자주 확인해보는 습관도 필요해요.


잇몸에서 피가 나는 꿈, 단순한 꿈일까요?
꿈에서 피를 본다는 건 어쩐지 무서운 예감이 들게 하죠. 입 안, 그 중에서도 잇몸에서 피가 나는 꿈은 현실감이 너무 생생해서 잠에서 깨고도 찜찜함이 오래 남아요. 저는 그런 꿈을 꾸고 나면, 괜히 손거울로 입 안을 들여다보게 되더라고요. 기분 탓인가 싶지만, 뭔가 불편한 게 느껴질 때가 종종 있어요.
심리학에서는 이런 꿈을 스트레스, 건강 불안, 혹은 감정적인 억압의 상징으로 해석하기도 해요. 실제로 잇몸에 통증이나 출혈이 있었던 사람은 꿈에서 그런 장면이 반복되기도 해요. 무의식이 몸의 신호를 대신 보여주는 걸지도 몰라요.
한 지인은 꿈에선 항상 이를 꽉 물고 있거나, 피가 솟구치는 장면이 나온다고 했어요. 알고 보니 치아에 금이 가 있었고, 잇몸도 상태가 안 좋았대요. 병원에서 진료받고 치료를 받으니, 그 꿈도 사라졌다고 하더라고요. 실제 상태와 연결된 꿈일 수 있다는 거죠.
그래서 저는 이런 꿈을 꾸면 일단 양치 습관을 점검해봐요. 치실도 꼼꼼히 하고, 물도 자주 마셔주고요. 꿈이 단순한 이미지라고 넘기기보단, 몸이 보내는 은근한 알람일 수 있다는 걸 기억해두면 좋아요.


치은염과 치주염, 알고 보면 다릅니다
잇몸에서 피가 나는 이유 잇몸병이라고 다 같은 게 아니에요. 치은염은 잇몸에만 염증이 있는 비교적 가벼운 상태고, 치주염은 염증이 잇몸뼈까지 침범한 심각한 질환이에요. 문제는 치은염이 치료 없이 오래 지속되면 거의 예외 없이 치주염으로 이어진다는 거죠. 말하자면, 작은 불씨를 꺼야 산불을 막을 수 있는 거예요.
치은염은 대개 양치질만 잘해도, 스케일링 한 번만 받아도 금방 좋아져요. 그런데 치주염은 얘기가 달라요. 치아를 지지하고 있는 뼈가 녹기 시작하니까, 이가 흔들리고 결국 빠질 수도 있어요. 이를 뽑고 임플란트를 해야 하는 상황까지 가기도 하고요.
치주염이 무서운 건 ‘조용하게 진행된다’는 점이에요. 통증도, 뚜렷한 증상도 없이 어느 날 갑자기 이가 흔들리면서 발견되는 경우가 많아요. 그래서 정기 검진이 정말 중요해요. 1년에 한 번이라도 스케일링을 받고, 잇몸 상태를 체크해두면 조기 발견이 가능하죠.
저는 예전엔 치아에만 신경을 썼어요. 잇몸은 그냥 배경처럼 생각했거든요. 그런데 알고 보니, 잇몸이 건강해야 치아도 오래 간다는 사실. 그걸 너무 늦게 알면, 치료도 오래 걸리고 비용도 배로 들 수 있어요.


잇몸 건강을 지키는 데 음식도 큰 역할을 해요
잇몸이 약해졌을 때 어떤 음식을 먹느냐에 따라 회복 속도가 달라질 수 있어요. 영양의 문제가 아니라, 회복력과 면역력을 높이는 습관의 차이라고 생각해요. 특히 비타민C는 잇몸 재생에 필수적인데, 이게 부족하면 잇몸이 쉽게 붓고 출혈이 생기기 쉬워요. 그래서 키위, 파프리카, 오렌지, 브로콜리 같은 음식을 자주 먹는 게 좋아요.
제 친구는 잇몸이 자주 붓고 피가 나서 치과에서 식습관을 바꾸라는 말을 들었대요. 그 뒤로 과일을 꾸준히 먹고, 가공식품을 줄였는데, 몇 주 지나자 피 나는 횟수가 눈에 띄게 줄었다고 해요. 단순한 변화지만 잇몸 건강에는 큰 효과가 있었던 거죠.
그리고 칼슘이 풍부한 두부, 멸치, 콩류도 도움이 돼요. 이건 잇몸을 지지하는 뼈인 치조골을 튼튼하게 만들어주는 영양소거든요. 딱딱한 음식을 씹을 때 통증이 있다면, 칼슘과 마그네슘 섭취도 함께 고려해보면 좋아요. 저는 잇몸이 약해졌을 때 씹기 편한 반찬 위주로 식단을 바꾸기도 했어요.
또 하나 중요한 건 ‘피해야 할 음식’을 아는 거예요. 너무 뜨겁거나 매운 음식, 끈적거리는 당류 간식, 과도한 카페인 섭취는 잇몸 염증을 악화시킬 수 있어요. 음식은 결국 습관이에요. 매일의 식사가 나의 잇몸을 살릴 수도, 망칠 수도 있단 걸 잊지 마세요.


잇몸 출혈과 함께 동반되는 입냄새, 그냥 넘기면 안 돼요
입냄새, 솔직히 누구나 신경 쓰는 부분이에요. 양치를 꼼꼼히 했는데도 입안이 개운치 않다면, 그건 음식 찌꺼기의 문제가 아닐 수도 있어요. 잇몸에서 피가 자주 나거나 고름이 생기면, 세균성 냄새가 입안 가득 퍼질 수 있어요. 이건 우리가 흔히 말하는 ‘입냄새’랑은 결이 달라요. 좀 더 독하고 지속적이에요.
제 지인은 회의 도중 동료에게 조용히 “입에서 좀…”이란 말을 듣고 정말 충격받았다고 했어요. 그날 바로 치과에 가봤더니, 치주염이 꽤 진행되어 있었다고 해요. 고름이 조금씩 나고 있었고, 입냄새는 그 고름에서 시작된 거였죠. 치료받고 나서 냄새도 없어졌고, 자신감도 회복됐다고 했어요.
입냄새가 있을 때 구강청결제나 민트로 가리는 건 임시방편일 뿐이에요. 진짜 원인은 잇몸 속에 있을 수 있어요. 혀에 백태가 자주 끼는 분들은 잇몸 염증이 함께 있을 가능성도 높아요. 혀 클리너와 치간 칫솔을 함께 사용하면 개선에 도움이 돼요.
그리고 가글을 사용할 땐 항균 성분이 있는 제품을 쓰는 것도 좋아요. 하지만 무엇보다 중요한 건 근본적인 원인 치료예요. 입냄새는 부끄러워서 감추는 게 아니라, 병원 가서 해결해야 할 증상이에요.


인사돌, 이가탄은 얼마나 도움이 될까요?
잇몸에서 피가 나는 이유 많은 분들이 잇몸 출혈이 있을 때 가장 먼저 찾는 게 인사돌이나 이가탄 같은 약이에요. 익숙한 이름이 주는 신뢰감도 있고, 실제로 약국에서도 추천하는 경우가 많죠. 인사돌은 염증 억제에 도움을 주는 트라넥사민산이, 이가탄은 비타민과 생약 성분이 들어 있어서 잇몸 회복에 도움을 줘요.
하지만 중요한 건, 이 약들이 ‘보조 치료제’라는 점이에요. 염증의 근본 원인을 제거하지 않으면, 약만으로는 완치가 안 돼요. 지인 중 한 분은 피가 날 때마다 이가탄을 복용했지만, 나중에 스케일링도 하지 않고 방치한 바람에 결국 잇몸 수술을 받게 되었어요. 약만으로는 한계가 있다는 걸 그제야 알았죠.
치과 치료를 병행하며 복용하면 효과가 배가될 수 있어요. 스케일링을 하고 염증을 없앤 상태에서 인사돌을 함께 먹으면, 회복 속도가 확실히 빨라진다고 하더라고요. 하지만 증상이 계속되면, 약은 잠시 멈추고 정밀한 검사를 받는 게 더 중요해요.
그리고 약을 복용할 땐 설명서에 적힌 복용 기간을 반드시 지켜야 해요. 무턱대고 장기 복용하는 건 부작용이나 내성 문제를 초래할 수 있어요. 몸에 들어가는 모든 약은 ‘내가 얼마나 필요한가’를 기준으로 선택해야 해요.


잇몸에서 피가 나는 이유 Q&A
1. 칫솔질만 하면 피가 나요. 칫솔을 바꿔야 하나요?
네, 딱딱한 칫솔모나 세게 닦는 습관이 원인일 수 있어요. 부드러운 칫솔로 바꾸고 힘을 줄이세요.
2. 피가 나는데 아프진 않아요. 병원에 가야 하나요?
통증 없는 치은염, 치주염도 많아요. 피가 자주 나면 꼭 진료받아보세요.
3. 임신 중인데 잇몸에서 피가 나요. 괜찮은 걸까요?
호르몬 변화로 임신성 치은염이 올 수 있어요. 잇몸이 붓고 피가 나면 치과 방문이 필요해요.
4. 잇몸에서 짠맛이 자꾸 느껴져요. 왜 그럴까요?
잇몸 출혈로 철분 맛이 나는 거예요. 지속되면 치주염 의심해야 해요.
5. 입냄새가 심해졌어요. 잇몸 때문일 수 있나요?
네, 잇몸 염증이 고름 냄새를 유발해요. 양치로 안 잡히면 병원 진료를 받으세요.


6. 고름이 나오는데 꼭 수술해야 하나요?
심한 경우 잇몸 수술이 필요할 수도 있어요. 빠르게 치료하면 절개 없이 회복 가능해요.
7. 인사돌을 먹으면 나아질까요?
일시적으로 출혈이 줄 수 있지만, 근본 원인 치료가 우선이에요.
8. 잇몸이 부은 채로 계속 피가 나요. 어떤 병일까요?
치주염일 가능성이 높아요. 잇몸 속 뼈까지 염증이 퍼졌을 수 있어요.
9. 음식을 바꾸면 도움이 되나요?
네, 항산화 식품과 비타민C 중심 식단은 잇몸 회복에 실제로 효과적이에요.
10. 잇몸 피 나는 꿈을 꾸었는데 건강 문제일까요?
반복된다면 건강 불안감의 표현일 수 있어요. 실제 검진으로 확인해보는 게 좋아요.


'질환·증상' 카테고리의 다른 글
| 관절염 초기증상 (0) | 2025.08.08 |
|---|---|
| 잎이 노랗게 변하는 이유 (0) | 2025.07.26 |
| 입마름 원인과 구강건조증 (0) | 2025.06.27 |
| 유방 양성석회화 (0) | 2025.06.19 |
| 위내시경 금식시간 (0) | 2025.05.21 |